KISUKARI NA AFYA YA KINYWA NA MENO

Kisukari kina athari kwa mwili mzima, fizi na meno yakiwamo pia. Athari huwa kubwa zaidi na mbaya kama sukari haijadhibitiwa na kufanya mwili uwe katika ugumu wa kudhibiti maabukizi.
Sukari inapokua haijadhibitandoiwa hufanya mtu awe na utando mwingi wa bakteria katika meno na kumfanya awe katika hatari zaidi ya kupata magonjwa ya kinywa na meno kuliko mtu asiye na kisukari au ambaye sukari yake imedhibitiwa. Utando huo katika meno unaweza kusababisha meno kutoboka na pia magonjwa ya fizi ambayo kwa kitaalamu huitwa "gingivitis" na periodontitis".
![]() |
| Utando katika meno (Dental Plaque) |
Gingivitis ni hatua ya mwanzo kabisa ya magonjwa ya fizi ambayo husababishwa na uwepo wa utando wa bakteria katika meno. Dalili zake za mwanzo ni pamoja na kutoka damu kwenye fizi na fizi kuwa nyekundu na hata kuvimba. Kwa mtu mwenye kisukari ni ngumu kwa mwili kudhibiti utengenezwaji wa utando huo katika meno, hii ndio sababu hasa ya watu wenye kisukari kuwa katika hatari mara 3 au 4 zaidi ya kupata magonjwa ya kinywa kuliko watu wasio na kisukari.
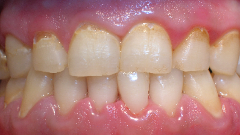
![]() |
| Gingivitis |
Gingivitis isipotibiwa hupelekea katika hatua kubwa zaidi ya ugonjwa ambao huitwa "periodontitis". Hatua hii ya ugonjwa hupelekea fizi kulegea na kuvutwa chini na mbali kutoka kwenye jino na kusababisha meno kulegea na mwisho kutoka kabisa.
![]() |
| Periodontitis |
Kutokua na usafi na afya nzuri ya kinywa kunaweza kuathiri kisukari pia. Kuwa na maambukizi ya magonjwa ya fizi (gingivitis na periodontitis) kunaweza kusababisha sukari kupanda mara dufu. Ndio maana inashauriwa sana kwa mtu mwenye kisukari awe ana usafi mzuri wa kinywa hii husaidia kulinda kinywa dhidi ya magonjwa na pia kudhibiti sukari kupanda.
Ushauri kwa watu wenye kisukari;
- Hakikisha unapiga mswaki kwa usahihi angalau mara mbili kwa siku kuhakikisha kwamba hakuna utando wa bakteria katika meno.
- Ukiwa na moja ya dalili hizi: fizi kuwa nyekundu, fizi kuvimbana kutoa damu kirahisi hakikisha unamuona daktari wa meno kwa ajili ya matibabu.
- Zingatia maelekezo ya daktari wa kisukari na mambo muhimu ya kufanya kuhakikisha sukari inabaki katika kiwango sahihi.
MAGONJWA YA KINYWA YANA ATHARI KATIKA KIWANGO CHA SUKARI NA PIA KIWANGO CHA SUKARI KINA ATHARI KATIKA AFYA YA KINYWA, HAKIKISHA UNA AFYA NZURI YA KINYWA ILI KUDHIBITI SUKARI KUPANDA, NA HAKIKISHA KIWANGO CHA SUKARI NI CHA KAWAIDA ILI KUEPUSHA HATARI YA KUWA NA MAGONJWA YA KINYWA.



Comments
Post a Comment